舌の先が赤くて痛いときに考えられる原因・病気を解説
2026/01/20
こんにちは。代々木の歯医者、代々木クリスタル歯科医院です。
舌の先の赤みや痛みは、食事や会話に支障をきたすことも少なくありません。
軽いピリピリ感から強い灼熱感までその程度は人によって異なりますが、病気の初期症状の可能性もあるため、早めに対応することが大切です。
今回は、舌の先が赤くて痛むときに考えられる原因や関連する病気、セルフチェックや対処法について解説します。
舌の先が赤くて痛いときに考えられる原因
舌痛症
舌痛症は、口内の粘膜に生じる原因不明の痛みのことです。
舌や口の中にヒリヒリとした焼けるような痛みが出るのが特徴ですが、その程度は軽いチクチク感から鋭く強い痛みまでさまざまです。
原因として考えられているのは、神経の働きの異常、ホルモン変化、心理的ストレスや不安などです。
更年期の女性に多く見られることから、女性ホルモンの変化が関与していると考えられています。
さらに、慢性的なストレスや不安、うつ症状、唾液の分泌や性質の変化なども、症状を長引かせたり悪化させたりする要因と考えられています。
口内炎
舌の痛みの原因として特に一般的なのが口内炎です。
口内炎にはいくつか種類があり、よく見られるアフタ性口内炎は、ストレスや疲労、睡眠不足、ビタミンB群不足などが発症に関係しています。
感染性口内炎には、ヘルペスウイルスによるものやカンジダ菌によるもの、性行為感染症によるものがあります。
外傷性口内炎は、合わない歯のかぶせ物や咬傷、熱い飲み物によるやけどなどが原因で発生します。
潰瘍の境目があいまいで、刺激が続くと慢性化しやすいのが特徴です。
また、金属や食物によるアレルギー性口内炎や、長期喫煙によるニコチン性口内炎もあります。
地図状舌
地図状舌は、舌の表面に地図のような模様が現れる病気です。
表面は滑らかで光沢があり、現れる模様は数日から数週間で形や位置が移動したり、消えたりします。
また、多くの場合において痛みはなく、自覚症状に乏しいという特徴があります。
原因は明確にはなっていませんが、遺伝、ストレス、栄養不足、ホルモン変動、アレルギーなどが関与していると考えられています。
口腔カンジダ症
口腔カンジダ症は、カンジダ菌というカビの一種が口の中で増殖することで起こる感染症です。
常在菌であるカンジダ菌が、免疫力の低下や抗生物質の長期使用などで増殖することで起こります。
症状としては、舌にできる白い斑点や膜、ヒリヒリした痛みや焼けるような感覚があります。
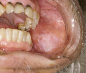
口腔白板症
口腔白板症は、舌や頬の粘膜に白い斑が現れる病気です。
前がん病変として知られていますが、多くは痛みがないため気づきにくく、歯科医院での診察で見つかることが少なくありません。
原因には、合わないかぶせ物や義歯などの慢性的な刺激、喫煙や飲酒、加齢に伴う粘膜の抵抗力低下が関わると考えられています。
白板症のすべてががんになるわけではありませんが、一部は悪性に変化する可能性があるため、白板が厚みを増したり、びらんや潰瘍を伴ったりする場合は注意が必要です。
ハンター舌炎
ハンター舌炎は、鉄欠乏性貧血に伴って生じる舌の病変です。
鉄欠乏性貧血は、体内の鉄不足により赤血球中のヘモグロビンが十分に作られず、酸素を運ぶ力が低下する疾患で、女性では月経や妊娠・授乳、男性では消化管出血が原因となることがあります。
この舌炎では糸状乳頭が萎縮・脱落し、舌がつるつるで光沢のある状態になります。
痛みはヒリヒリした灼熱感から鋭い痛みまで幅があり、辛味や酸味のある食べ物で強まることもあります。
会話や嚥下で不快感が出る場合も少なくありません。そのほか、疲労感、息切れ、動悸、めまい、爪の変形(スプーン爪)、氷を好む異食なども見られます。
舌がん
舌がんは舌の表面や側面に発生する悪性腫瘍です。
歯との接触による慢性的な刺激が要因の一つと考えられ、特に舌側面に多くみられます。
舌先や下面、舌根部にも発生しますが、頻度は低めです。初期には潰瘍やしこり、出血などが現れるほか、小さな白っぽい病変ができることもあります。
通常の口内炎と区別がつきにくいですが、口内炎が1~2週間で治るのに対し、舌がんは徐々に拡大します。
表面が硬くデコボコしていて、周囲との境界がはっきりしないことも特徴です。
進行すると痛みや灼熱感、発音や嚥下の障害、首のリンパ節の腫れが出てきます。
タバコの発がん物質やアルコールの刺激が粘膜に作用することから、危険因子には喫煙や飲酒があります。
また、慢性的な刺激、ウイルス感染、遺伝的要因が関与することもあります。
診断には視診・触診、組織検査、画像検査が用いられ、治療は外科切除や放射線・化学療法など病期に応じて行われます。
舌の異常のセルフチェック方法
舌の状態は健康の指標になるため、定期的にセルフチェックを行うことが大切です。
鏡を使って、舌を前に出したり左右に動かしたりして、表面や側面、裏側まで観察しましょう。
健康な舌の色は、淡いピンク色で適度な湿り気があります。赤く腫れている場合は炎症や感染症の可能性があり、白っぽい場合は舌苔の堆積や血行不良、カンジダ症などが疑われます。
形状の変化では、ひび割れや地図状の模様、平滑になった部分がある場合は栄養不足や免疫異常のサインです。
潰瘍や赤い斑点、腫れがある場合も注意が必要です。
自宅でできる対処法
うがいやデンタルケアは、口内の健康を維持するための基本です。
日々の歯磨きやフロスの使用とともに、市販のうがい薬や水で口内を清潔に保つことで、細菌の増殖を抑えましょう。
食生活では、ビタミンB群や鉄分を意識的に摂取することが舌の健康につながります。
辛い食べ物や酸性の食べ物、熱すぎる食事は刺激になるため控え、よくかんで唾液の分泌を促すことが大切です。
また、もし症状が2週間以上続く、悪化している、発熱や全身症状を伴うといった場合には、早めに医療機関での診察を受けましょう。
まとめ
舌の先が赤くて痛い症状には、口内炎や地図状舌、口腔カンジダ症、口腔白板症、ハンター舌炎、舌がんなど、さまざまな原因があります。
舌に現れる症状は、全身の健康状態を表している可能性もあります。
症状が2週間以上続く場合や悪化する場合は、早めに歯科医院や歯科口腔外科で診察を受けましょう。
医療法人社団大輝会 代々木クリスタル歯科医院:https://c-dental.com/
〒134-0091 東京都渋谷区代々木1-35-4 代々木クリスタルビル2階(北口駅ビル2階)
電話:03-3370-0550
交通アクセス
電車でお越しの方:JR・都営大江戸線代々木駅より徒歩0分

